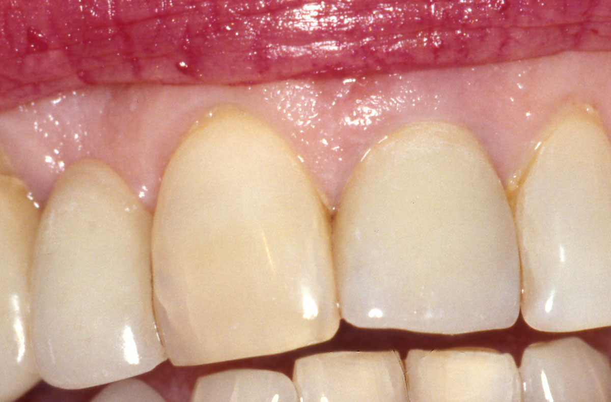
Gum Lifts-Excessive or uneven gums can be corrected via crown lengthening surgery.
In order to optimally design and continuously improve our website for you, we use cookies. By continuing to use the website, you agree to the use of cookies. For more information on cookies, please see ourprivacy policy