Wurzelfüllung / Endodontie
Unsere Zähne sind so konstruiert, dass sie ein ganzes Leben ihre Funktion erfüllen können. Sollte jedoch ein Zahn beschädigt worden sein, entweder durch Karies oder durch eine Fraktur bzw. einTrauma, dann wird das Innere des Zahnes durch Bakterien befallen und der Nerv entzündet sich.
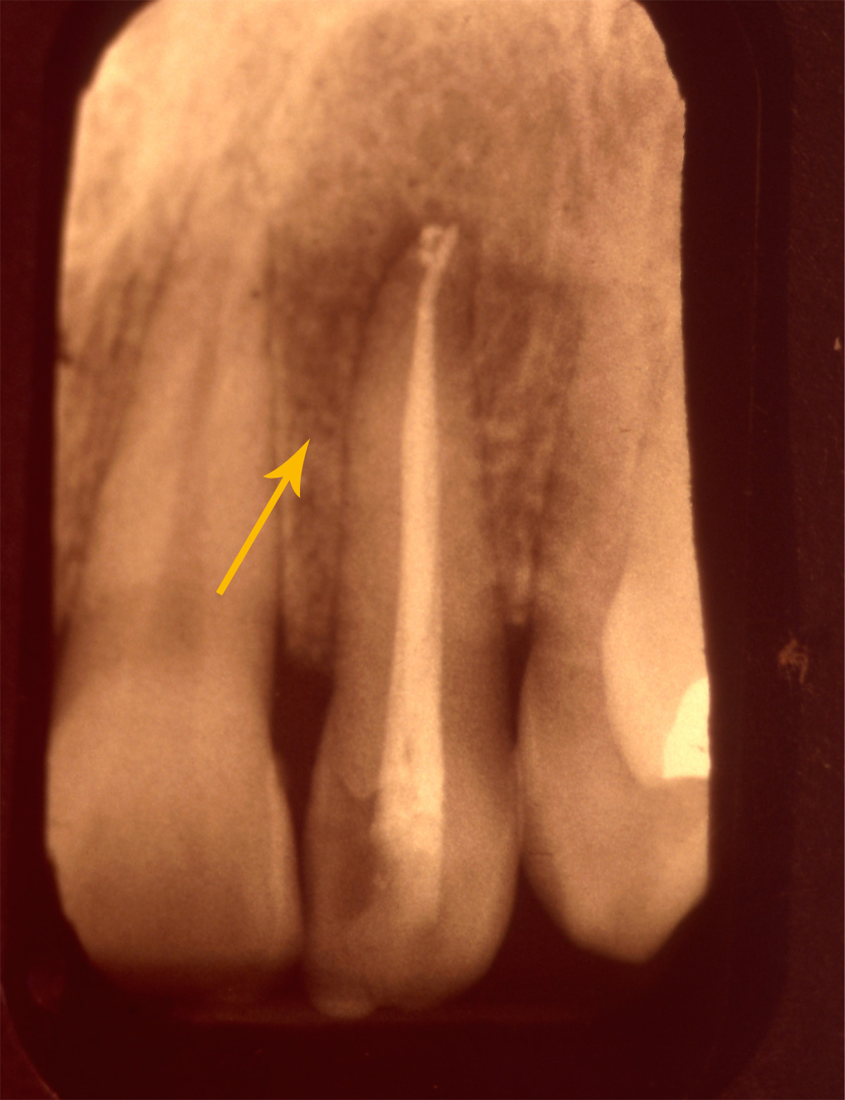
Heftige Zahnschmerzen sind die Folge, eventuell auch eine Schwellung. Der Knochen um den Zahn herum wird dadurch beschädigt, was sich im Röntgenbild als
schwarzer Schatten um die Wurzelspitze darstellt. (Bild 1)
Um den Zahn zu retten, ist eine Wurzelkanalbehandlung erforderlich.
Dies geschieht bei uns minimal-invasiv und mit höchstmöglicher Genauigkeit durch Computer-Unterstützung. Wir öffnen den Zahn vorsichtig von oben, entfernen dann das Schmerz verursachende Gewebe und reinigen die einzelnen Wurzelkanäle intensiv.
Die Kanäle, manchmal nur einer, in einigen Fällen bis zu vier sind oft sehr filigran, verzweigt und gekrümmt, so dass hier genauste Kenntnisse der Kanalmorphologie erforderlich und höchste Präzision bei der Behandlung gefordert ist.
Werden nicht alle infizierten Gewebereste entfernt, dann kann es abermals zu Beschwerden kommen, manchmal auch erst nach Jahren.
Wenn der schwarze Schatten um den Zahn verschwunden ist (siehe Bild 4) und der Patient schmerzfrei ist, kann die Behandlung als Erfolg gewertet werden.
Wurzelfüllung Revision
Wenn an einem Zahn bereits eine Wurzelfüllung gemacht wurde und der Patient dennoch Schmerzen hat, dann nehmen wir eine Revision des Zahnes vor.
Revisionen sind zeitaufwendiger und schwieriger als normale Wurzelfüllungen. Den alten, schmerzverursachende Zement, manchmal sogar abgebrochene Instrumente entfernen wir vollständig. Anschließend reinigen wir die Kanäle sorgfältig von Bakterien und trocknen sie.
Erst dann können wir erneut eine Wurzelfüllung nach vorgeschriebenem Protokoll durchführen. Auf diese Weise erhalten wir den Zahn, ohne ihn durch ein Implantat oder eine Brücke zu ersetzen.
Eine 32 jährige Patientin kam mit extremen Zahnschmerzen.
Die Röntgenaufnahme zeigte als Ursache eine fehlerhafte Wurzelfüllung mit einem schwarzen Schatten (Entzündung) um die Wurzelspitzen.
Nach der Wiederholung der Wurzelfüllung war die Patientin beschwerdefrei und sehr erleichtert. Nach weiteren sechs Monaten war auch der Schatten verschwunden.
